Ct Abdominal Si Pelvis

Angiografie ct vase cerebrale cu sc inclus 715.
Ct abdominal si pelvis. This technique is able to create pictures of the blood vessels in your belly abdomen or pelvis area. Angiografie ct vase cervicale cu sc inclus 715. Fullscreen computed tomography ct of the abdomen and pelvis is a diagnostic imaging test used to help detect diseases of the small bowel colon and other internal organs and is often used to determine the cause of unexplained pain. Angiografie ct aorta abdomino pelvina cu sc inclusa 1160.
A computed tomography ct scan of the pelvis is an imaging method that uses x rays to create cross sectional pictures of the area between the hip bones. Ct 3 regiuni nativ torace abdomen pelvis 960. Ct angiography combines a ct scan with the injection of dye. Ct scanning is fast painless noninvasive and accurate.
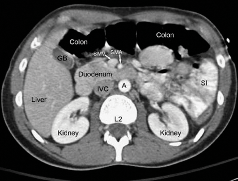
It s performed in a hospital s radiology department or a clinic that specializes in diagnostic. This part of the body is called the pelvic area. We created an anatomical atlas of abdominal and pelvic ct which is an interactive tool for studying the conventional anatomy of the normal structures based on a multidetector computed tomography. Anatomical structures of the abdomen and pelvis are visible as interactive labeled images.
Ct stands for computed tomography. Angiografie ct pelvis cu sc inclusa 715. How an abdominal ct scan is performed a typical abdominal ct scan takes from 10 to 30 minutes. Structures inside and near the pelvis include the bladder prostate and other male reproductive organs female reproductive organs lymph nodes and pelvic bones.